신정동치과

신정동치과 파절된 앞니 복합레진 충전

신정동치과 파절된 앞니 복합레진 충전 안녕하세요! 하나치과입니다~:) ​ 앞니는 구강 최전방에 위치해 외부 충격에 고스란히 노출되기 쉬운 부위입니다. ​ 이 때문에 자전거나 킥보드 등 이동 수단을 이용하다 넘어지거나, 운동 중 충돌 사고, 딱딱한 음식을 씹는 과정에서 앞니가 깨지거나 부러지는 파절 사고가 심심치 않게 발생하는데요. ​ 치료 방법은 파절의 깊이와 범위에 더보기…

울산삼산동치과

울산삼산동치과 올바른 선택을 하고 싶다면

울산삼산동치과 올바른 선택을 하고 싶다면 안녕하세요! 하나치과입니다~:) ​ 여러 구강질환 중 흔히 발생하는 것 중 하나가 충치입니다. ​ 이는 구강 내 음식물이 균과 만나 분해되면서 발생하는 산에 의해 치아가 손상되는 질환으로 ​ 연령을 불문하고 누구에게나 발생할 수 있으며, 구강 관리에 소홀하면 자신도 모르는 사이 ​ 치아가 크게 손상될 수 있어 더보기…

울산삼산동치과

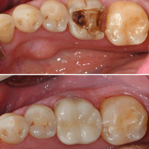
울산삼산동치과 앞니 인접면 우식의 치료

울산삼산동치과 앞니 인접면 우식의 치료 안녕하세요! 하나치과입니다~:) ​ 웃거나 대화를 할 때 가장 많이 보이는 치아는 흔히 대문니로 불리는 앞니인데요. ​ 가지런하고 고른 앞니는 밝은 인상을 주기 때문에 깨지거나 벌어져 치료를 원하시는 분들이 늘어나고 있습니다. ​ 앞니 충치는 치아 사이에서 주로 발생하며 초기에 치료할 경우 변색이 드러나지 않지만 방치할 경우 더보기…

신정동치과

신정동치과 인접면 우식의 발견과 치료의 중요성

신정동치과 인접면 우식의 발견과 치료의 중요성 안녕하세요! 하나치과입니다~:) ​ 교합면에 발생하는 충치와 달리 인접면 충치는 눈으로는 확인하기 어려워 중증 이상이 될 때까지 모르는 경우가 많습니다. ​ 치아 사이사이는 평소 관리를 제대로 하지 않으면 음식물이 남아 충치가 발생하게 되는데 ​ 잇몸 건강까지 악화될 수 있어 발견 즉시 치료하는 것이 좋습니다.   더보기…

울산삼산동치과

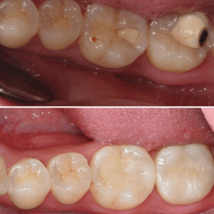
울산삼산동치과 어금니 다수 충치 치료

울산삼산동치과 어금니 다수 충치 치료   안녕하세요! 하나치과입니다~:) ​ 충치는 충치 자체만 제거하는 것이라면 그렇게 까다롭지 않을 수 있지만 ​ 충치를 제거하면서 치아가 삭제된 부위에 어떤 방법으로 재료를 채워 넣는지, 치아 삭제량과 기능성, 심미적인 부분 등을 고려하는데 더욱 어려움이 있습니다. ​ 충치 치료를 제때 받지 않아 신경으로까지 퍼진 경우라면 치료가 더보기…

울산달동하나치과

울산달동하나치과 앞니의 치근 우식을 치료하는 다양한 방법

울산달동하나치과 앞니의 치근 우식을 치료하는 다양한 방법   안녕하세요! 하나치과입니다~:) ​ 치아는 우리 삶에 가장 중요한 역할을 담당하는 부위 중 하나이면서 동시에 가장 관리가 어려운 부위 중 하나인데요. ​ 특히 현대인들 사이에서 흔히 ‘충치’라고 알려진 치아 우식이 발병하기 십상입니다. ​ 그중 오늘 알아보고자 하는 치근 우식은 잇몸과 치아 사이의 치아 더보기…

울산신정동치과

울산신정동치과 오랜 기간 건강하게 사용하려면

울산신정동치과 오랜 기간 건강하게 사용하려면   안녕하세요! 하나치과입니다~:) ​ 충치는 여러 구강질환 중에서도 매우 흔하게 발생하는 것으로 구강 내 남은 음식물이 균과 결합하면서 발생하는 산에 의해 ​ 치아가 손상되는 질환이므로 식후 바로 양치질을 꼼꼼하게 하고 치과의 정기검진, 스케일링 등의 기본적인 관리만으로도 예방할 수 있습니다. ​ 하지만 많은 현대인들이 바쁜 일상을 더보기…

울산삼산동치과

울산삼산동치과 만족도 높은 결과를 위해

울산삼산동치과 만족도 높은 결과를 위해   안녕하세요! 하나치과입니다~:) ​ 입안에 서식하는 박테리아는 설탕, 전분 등을 분해하면서 산을 생성하게 됩니다. ​ 이때 생성된 산은 치아의 법랑질을 손상시켜 충치를 발생케 하고 이를 치아우식증이라고 하는데요. ​ 치아우식증은 남녀노소 불문하고 흔하게 발생하는 치아 질환 중 하나로 심하지 않은 경우라면 비교적 쉽고 간단하게 치료할 수 더보기…

울산신정동치과

울산신정동치과 개인별로 다른 상태에 맞춰

울산신정동치과 개인별로 다른 상태에 맞춰   안녕하세요! 하나치과입니다~:) ​ 마치 단단한 머리뼈 속에 뇌가 들어 있는 것과 마찬가지로 치아는 인체에서 가장 단단한 조직으로 이루어져 있고 그 내부에 혈관, 신경 등이 분포한 치수 조직이 들어 있습니다. ​ 신경관 내부의 감염과 염증은 약물로 치료하기에는 어려움이 있기 때문에 두개골 안에 있는 뇌에 문제가 더보기…

울산삼산동치과

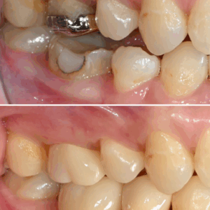
울산삼산동치과 오래된 크라운 치근단 염증으로 인해 신경치료 후 재보철 수복

울산삼산동치과 오래된 크라운 치근단 염증으로 인해 신경치료 후 재보철 수복   안녕하세요! 하나치과입니다~:) ​ 신경치료는 감염되거나 괴사된 치수 조직을 제거한 뒤, 치근관 내부를 세척하고 소독한 다음 생체친화적인 재료로 밀봉하는 과정을 거치게 됩니다. ​ 이를 통해 세균의 확산을 억제하고 염증을 조절함으로써 치아를 가능한 오래 사용할 수 있도록 해주는데요. ​ 일반적으로 충치가 더보기…

문의 전화

052-922-2879

네이버 예약

네이버 예약