울산삼산동치과

울산삼산동치과 음식물 끼임에 대한 치료법

울산삼산동치과 음식물 끼임에 대한 치료법   안녕하세요! 하나치과입니다~:) ​ 고기 또는 건강을 위해 샐러드를 먹는 것은 즐겁지만 식사 후 치아 사이에 음식물이 많이 끼면 불편할 때가 있습니다. ​ 보통은 칫솔질로 해결되지만 때로는 치실이나 치간 칫솔을 사용해도 개운하지 않은 느낌이 들 때가 있는데요. ​ 왜 치아 사이에 이렇게 음식물이 끼는 걸까요? 더보기…

울산삼산동치과

울산삼산동치과 크라운 퍼포레이션과 보철 교체 시기

울산삼산동치과 크라운 퍼포레이션과 보철 교체 시기   안녕하세요! 하나치과입니다~:) ​ 치과 보철치료는 치아 손상이 광범위하거나 신경치료를 진행한 후 기능적, 심미적 회복을 위해 크라운, 브릿지, 임플란트 등의 재료를 이용해 손상된 부위를 수복하는 방식의 치료입니다. ​ 그러나 아무리 정밀하게 시술해도 사용 연한이 지난다면 접착제의 노화나 교합 마모 등으로 인해 상태가 악화될 수 더보기…

울산삼산동치과

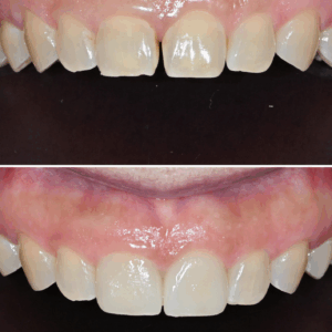
울산삼산동치과 앞니 사이 벌어짐으로 인해 라미네이트로 심미성 회복

울산삼산동치과 앞니 사이 벌어짐으로 인해 라미네이트로 심미성 회복 안녕하세요! 하나치과입니다~:) ​ 예로부터 치아 사이가 벌어지면 그 사이로 복이 달아난다는 속설이 있는데요. ​ 관상학적으로도 벌어진 치아는 복이 새어 나가는 인상으로 인식해 여러모로 좋지 않게 생각해 왔습니다. ​ 치아 사이의 공간을 일컫는 치간 이개의 원인은 선천적, 후천적으로 나눌 수 있는데 벌어진 앞니를 더보기…

울산치과

울산치과 부러진 앞니 자연치 크라운으로 심미성 회복

울산치과 부러진 앞니 자연치 크라운으로 심미성 회복 안녕하세요! 하나치과입니다~:) ​ 외부 충격이나 충치, 마모, 균열 등 다양한 원인으로 치아가 손상될 경우, 단순한 충전 치료만으로는 기능적 회복이 어려운 사례가 많이 있는데요. ​ 특히 손상이 광범위하거나 치아가 약해진 경우, 전체를 보호하면서 저작 기능까지 복원하는 크라운 치료가 효과적인 대안이 될 수 있습니다. ​ 더보기…

울산삼산동치과

울산삼산동치과 앞니 파절로 인해 기존 레진 충전물 제거 후 크라운 수복

울산삼산동치과 앞니 파절로 인해 기존 레진 충전물 제거 후 크라운 수복 안녕하세요! 하나치과입니다~:)   치아는 단단한 구조로 되어 있어 다양한 음식을 씹고 베어 먹을 수 있지만 갑작스럽게 강한 충격을 받거나 반복적으로 압력이 가해지면 깨지거나 부러질 수 있는데요.   특히 앞니는 위치 특성상 외부 충격에 취약하며 심미적 문제뿐만 아니라 기능적인 불편도 더보기…

울산달동하나치과

울산달동하나치과 법랑질 마모에 의한 자연치 크라운 수복

울산달동하나치과 법랑질 마모에 의한 자연치 크라운 수복   안녕하세요! 하나치과입니다~:) ​ 외부 충격이나 충치, 마모, 균열 등 다양한 원인으로 치아가 손상될 경우 단순한 충전 치료만으로는 기능적 회복이 어려운 사례가 많습니다. ​ 특히 손상이 광범위하거나 치아가 약해진 경우 치아 전체를 보호하면서 저작 기능까지 복원하는 크라운이 효과적인 대안으로 제시되고 있는데요. ​ 크라운은 더보기…

신정동치과

신정동치과 전체 치아 파절로 인한 전악 보철

신정동치과 전체 치아 파절로 인한 전악 보철   안녕하세요! 하나치과입니다~:) ​ 치아는 충치, 파절, 마모, 신경치료 이후 약화 등 여러 요인으로 쉽게 손상될 수 있는데요. ​ 손상이 심한 경우라면 단순한 수복재로는 원래 기능을 유지하기 어렵고 재손상 위험도 높아질 수 있어 치아 전체를 덮어 보호하는 크라운 치료가 필요할 수 있습니다. ​ 더보기…

울산삼산동치과

울산삼산동치과 밝은 미소를 되찾아 드리는

울산삼산동치과 밝은 미소를 되찾아 드리는   안녕하세요! 하나치과입니다~:) ​ 가지런하고 깨끗한 치아는 외모에 플러스 요인이 됩니다. ​ 그래서 요즘에는 치아 우식 같은 문제가 없어도 치아를 예쁘게 만들기 위해 심미보철, 교정 치료를 찾는 사람들도 많이 늘어나고 있는데요. ​ 치아가 가지런하지 않을 때 교정 치료를 선택할 수 있지만 교정은 치료 기간이 길다는 더보기…

울산삼산치과

울산삼산치과 원인이 무엇인지 알고

울산삼산치과 원인이 무엇인지 알고 안녕하세요! 하나치과입니다~:) ​ 간혹 치과에 내원하시는 환.자분들 중 음식물을 저작할 때 시큰거리는 불편감, 힘을 주어 씹으면 씹기가 어렵다 또는 ​ 오래 저작한 후 우리 하게 느껴지는 둔통을 주소로 타 치과에서는 큰 문제가 없다고 진.단을 받고 오신 분들이 계시는데요. ​ 그러한 경우일 때 해볼 수 있는 검사 더보기…

울산삼산동치과

울산삼산동치과 기존 앞니 크라운 제거 후 재신경치료 및 재보철 수복

울산삼산동치과 기존 앞니 크라운 제거 후 재신경치료 및 재보철 수복   안녕하세요! 하나치과입니다~:) ​ 심미보철을 받은 후에 불편함이나 통증을 느끼거나 심미적으로 보았을 때 만족도가 낮아 재보철을 진행하는 경우가 늘어나고 있습니다. ​ 특히 과거에 금속이 들어있는 보철물을 사용했을 경우에는 색과 모양이 부자연스러워 자연스러운 효과를 거둘 수 없어 재보철을 통해 자연스러운 치아를 더보기…

문의 전화

052-922-2879

네이버 예약

네이버 예약