울산삼산동치과 앞니 인접면 우식의 치료 잘하는 곳은?

울산삼산동치과


 

안녕하세요!

하나치과입니다~:)

사람의 치아 가운데에서도 앞니는

미소를 짓거나 대화를 할 때

가장 눈에 먼저 띄는 위치에 있습니다.

그래서 치아의 정렬 상태나 색감, 모양에

약간의 변화만 생겨도 전체적인 인상이

크게 달라 보일 수 있는데요.

충치나 외상, 마모, 변색 등의 원인으로

앞니의 형태가 손상되면 저작 기능뿐 아니라

심미적인 부분에서도 불편을 느끼는

경우가 적지 않습니다.

이러한 경우에 적용을 고려할 수 있는

방법이 바로 심미보철입니다.

 

 

울산삼산동치과의 치료는

앞니를 자연스러운 형태와 색상으로

회복하도록 해주는데요.

단순히 치아의 겉모습을 개선하는 것에

그치지 않고 저작 기능과 발음,

잇몸과의 조화를 함께 고려해야 합니다.

특히 앞니는 얼굴 중심부에 위치하고 있어

작은 차이도 눈에 띄기 쉬우므로

세밀한 진단과 계획이 중요합니다.

충분한 진단과 계획을 기반으로 진행된

앞니 치료는 치아의 기능 회복과 함께

자연스러운 미소 형성에 도움을 줄 수 있습니다.

 


 

위 환자분께서는 20대 여성분으로

울산삼산동치과 하나치과의

홈페이지에 게시된 케이스를 보시고

내원해 주셨는데요.

사람들을 매일 만나는 일을 하시는데

앞니에 충치가 생겨 스트레스가

심하여 치료를 하고 싶으시다는

말씀을 해주셨습니다.

 

 

치아 교정 후 설측에 리테이너가

붙어 있는 상태로 위생 관리가 제대로

이루어지지 않아 위쪽 앞니와 옆 치아의

사이에 심한 우식으로 인해

심미성이 많이 떨어진 상태였습니다.

따라서 우식 정도가 미약한

옆의 앞니는 복합 레진 충전,

앞니는 크라운을 시행하는 것으로

계획을 수립하였습니다.

앞니에 발생하는 충치는 겉으로

쉽게 드러나지 않아 단지 작은 점이나

가느다란 선처럼 보이지만

실제로 내부에서는 상당히 진행된

상태일 수 있는데요.

겉에 드러난 변화가 작다고 해서

우식의 범위까지 작다고 단정 짓는 것은

매우 위험합니다.

 

 

20대의 젊은 여성분이시지만

매우 어두운 색조를 가지고 계셨기 때문에

크라운의 양옆 자연치의 색깔에 맞춘다면

자연스러워 보이겠지만 심미적으로

좋지 않을 것을 우려해

크라운의 색조는 한 단계 밝게

디자인하고 미백 치료로

자연치의 밝음 정도를 조금 올리는

방향으로 계획을 하였습니다.

이유는, 치아 미백 시 자연치의 색조는

밝아질 수 있으나 보철물은 변화하지

않기 때문입니다.

 

 

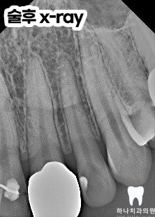
크라운과 레진 수복까지

마친 모습입니다.

앞니 치료에서는 단순히 하얗고

가지런한 치아를 만드는 것보다

환자의 얼굴 형태와 입술 움직임,

치아 비율 등을 고려한 디자인이 필요합니다.

치아 길이와 폭의 균형, 치아 사이의 형태,

잇몸과의 경계선 등은 전체적인 인상을

결정하는 요소로 작용하여

이러한 부분을 고려하지 않으면

보철물이 지나치게 부자연스럽거나

인위적인 느낌을 줄 수 있습니다.

환자분께서도 “딱 좋아요~!

나중에 미백 치료를 해서

옆의 치아와 색깔을 맞추면

더 이쁠 것 같아요.”

라고 말씀하시며 아주아주

만족해하셨습니다.

 

 

울산삼산동치과에서

2주간 빠르게 진행된 치료가

깔끔하게 끝나서 저 역시도

기분이 좋았습니다.

오래오래 이쁘게 사용하시길

바랍니다~!

결국 중요한 것은 빠른 판단과

정밀한 진단인데요.

까만 점이 충치일지 아닐지 고민하기보다는

울산삼산동치과에서 명확히

확인하고 필요한 경우 조기에 치료하는 것이

경제적이고 현명한 선택입니다.

‘작은 점 하나쯤 괜찮겠지’라는 생각이

결국 치아 하나를 잃는 결과로

이어질 수 있음을 간과해서는 안 됩니다.

감사합니다!

*모든 증례 사진은 의료법 제23조, 제56조에 의거하여 환자분의 동의하에 업로드가 진행되었습니다.

*치료 사진은 모두 본원에서 치료한 환자분의 사진입니다.

*치료 사진은 모두 동일인의 사진이며, 동일 조건에서 촬영하였습니다.

*개인의 차이에 따라 시술 및 수술 후 부작용이 발생할 수 있으며, 의료진과 충분한 상담을 받으시기 바랍니다.

 

 



하나치과 네이버 바로가기

 

울산삼산동치과 앞니 인접면 우식의 치료

 

문의 전화

052-922-2879

네이버 예약

네이버 예약