울산삼산동치과 양쪽 매복 사랑니로 인한 어금니의 심한 우식 치료

울산삼산동치과


 

안녕하세요!

하나치과입니다~:)

사랑니 주변은 구조적으로 칫솔이

잘 닿지 않아 위생 관리가 어려워

잇몸 사이에 음식물이나 이물질이

지속적으로 끼면 충치와 구취,

잇몸 염증이 발생하기 쉽습니다.

이미 사랑니에 충치가 생겼거나

반복적인 염증으로 통증이 나타난다면

추가적인 치료를 위해 발치를

고려해 볼 수 있는데요.

발치 시기는 무조건적으로 단정하기 보다

위치와 맹출 방향, 충치 유무를

종합하여 판단하는 것이 좋습니다.

 

이러한 사랑니의 통증은 비교적 늦게

나타나는 편인데요.

사랑니 충치는 옆 어금니와 맞닿는 면에서

시작하는 경우가 많아 육안으로 확인하기 어렵고

겉으로는 변화가 적어 보여도 안쪽에서

넓게 퍼질 수 있으며 염증이 동반되면

냄새나 붓기 정도로만 인식되기 쉽습니다.

위치상 발견이 늦을 수 있고 바로 앞어금니까지

함께 손상될 수 있어 아플 때만 대응하면

선택지가 줄어들기 쉬우므로

파노라마, 엑스레이 등 방사선 검사를 통해

충치나 잇몸뼈의 변화와 확인되면

울산삼산동치과에서

조기에 대처하는 것이 중요합니다.

 


 

위 환자분께서는 30대 남성분으로

울산삼산동치과에 내원하셔서

진료받으신 경험이 있으신 배우자분의

추천으로 내원해 주셨는데요.

양쪽 어금니가 너무 아프고, 씹지도 못하신다며

치과가 무서워서 어렸을 때 말고는

와보신 경험이 없다고 말씀해 주셨습니다.

 

 

양쪽 아래 수평으로 매복되어 있는

사랑니가 관리되지 않아

바로 앞의 큰 어금니 뒤쪽으로

큰 우식을 공통적으로 가지고 있는

모습을 확인할 수 있었는데요.

오른쪽의 경우, 앞쪽에도 우식이

많이 진행된 상태였습니다.

따라서 양쪽에 매복되어 있는 사랑니를

발치하는데 심한 우식이 진행된 오른쪽의 경우

발치 후 임플란트, 왼쪽의 경우는 자연치 크라운을

진행하시기로 계획을 수립하였습니다.

 

 

더불어 증상을 보이는 왼쪽 아래

가장 안쪽 어금니는 신경치료와 크라운,

양쪽 위 두 번째 작은 어금니 인접면의 우식은

진행이 심한 오른쪽의 경우 신경치료 및

포스트, 코어, 크라운을 진행하고

왼쪽의 경우 인레이 수복으로

계획을 하였습니다.

 

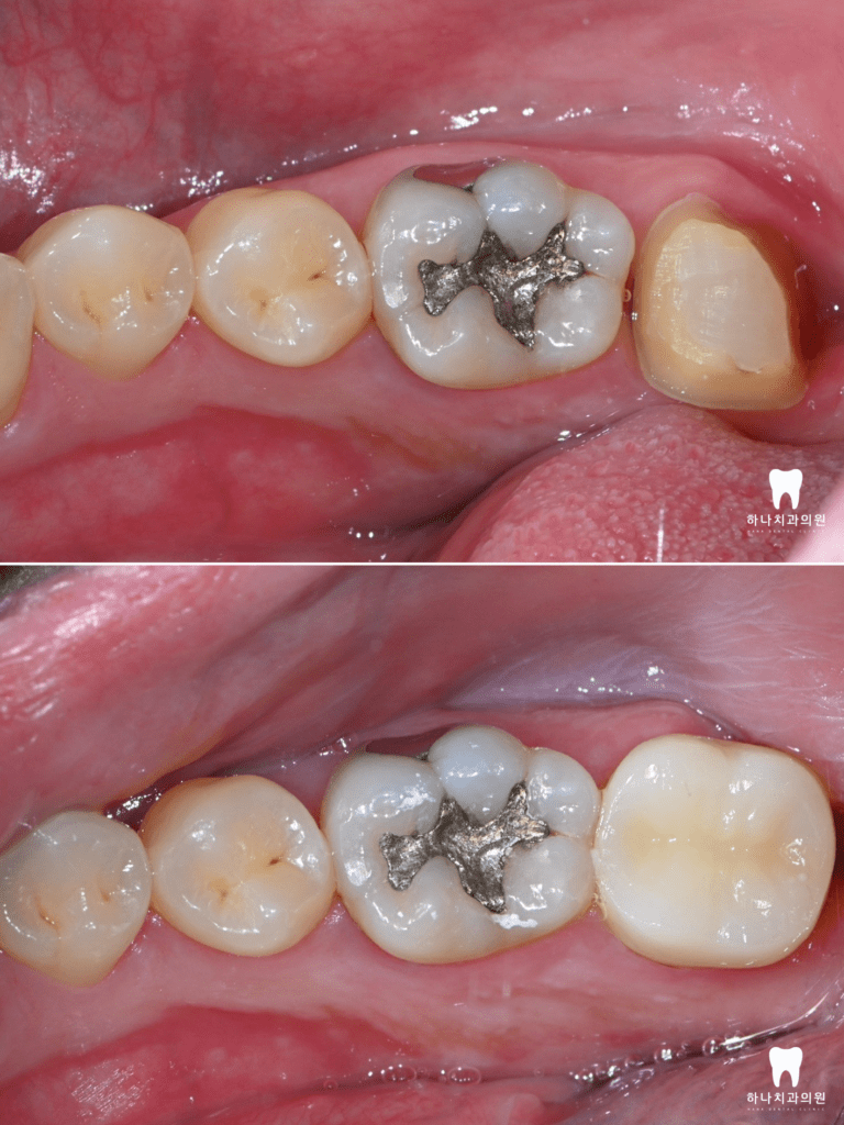
오른쪽 작은 어금니의 치료 과정입니다.

 

 

왼쪽의 경우 우식이 숨겨져 있어

잘 보이지 않았으나, 인접면 인레이를

잘 마무리하였습니다.

 

 

접근성과 방습에서 매우 어려운

왼쪽 아래 어금니의 치료 과정인데요.

이렇듯 수평으로 매복된 사랑니가

앞쪽 치아의 뒷면에 심한 우식을 발생시켜

발치로 이어지는 경우를 수없이 관찰합니다.

울산삼산동치과에서는 매복 사랑니가 있는 경우,

당장 아프지 않더라도 앞쪽 치아의

우식이 우려된다면 빠르게 발치하는 것이

앞쪽 치아의 건강을 위해 매우 고려되어야

할 사항입니다.

 

 

시간이 지체되어 가장 안쪽 어금니의

뒷면에 우식이 발생한 경우

치료가 매우 까다로울 수밖에 없는데요.

우석 우식 부위가 잇몸보다 아래에 위치하고

대부분 처치해야 할 부위가 잇몸뼈의 레벨보다

하방인 경우가 많아 직접적으로 처치하는 것이

수분의 컨트롤과 시야 확보, 기구의 접근성 등에서

거의 불가능에 가깝습니다.

 

울산삼산동치과에서

매우 정밀한 치료를 한다고 하더라도

예후(치료 후 오래 쓰는 기간)을

예측하기 어렵다는 문제가 발생하기에

아래쪽의 매복 사랑니는 많은 경우에서

빠른 발치가 추천됩니다.

 

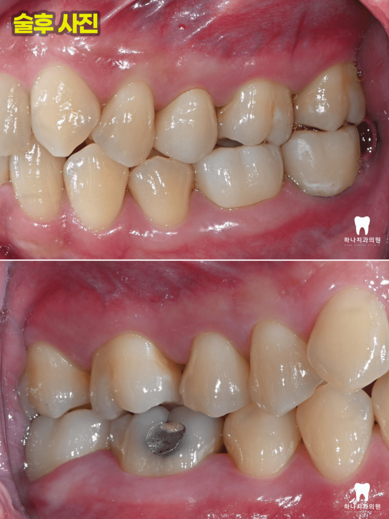
이제는 안 아프고 먹는데 아무런

문제가 없어요~라고 하시며

무서워하지 않고 울산삼산동치과

하나치과의 정기 검진을 잘 받으시겠다는

약속을 해주셨습니다.

하나치과도 환자분의 건강한 치아가

오래 유지 되도록 최선을 다하겠습니다.

감사합니다!

*모든 증례 사진은 의료법 제23조, 제56조에 의거하여 환자분의 동의하에 업로드가 진행되었습니다.

*치료 사진은 모두 본원에서 치료한 환자분의 사진입니다.

*치료 사진은 모두 동일인의 사진이며, 동일 조건에서 촬영하였습니다.

*개인의 차이에 따라 시술 및 수술 후 부작용이 발생할 수 있으며, 의료진과 충분한 상담을 받으시기 바랍니다.




하나치과 네이버 바로가기

울산삼산동치과 올바른 선택을 하고 싶다면

 

문의 전화

052-922-2879

네이버 예약

네이버 예약