울산삼산동치과 망가진 교합으로 인한 재보철 수복

울산삼산동치과 망가진 교합으로 인한 재보철 수복   안녕하세요! 하나치과입니다~:) ​ 울산삼산동치과 보철치료는 손상되거나 상실된 치아를 수복하여 추가적인 손상을 막아주고 기능을 회복하게 해주는데요. ​ 우식으로 인해 손상된 부분을 기능적으로 수복하는 동시에 심미성을 회복하는데 도움이 되며 외상에 의해 금이 가거나 파절된 경우 보철을 수복하여 ​ 치아 본래의 기능과 심미적인 외형을 회복할 수 더보기…

울산삼산치과

울산삼산치과 구치부 임플란트를 통한 저작 회복

울산삼산치과 구치부 임플란트를 통한 저작 회복 안녕하세요! 하나치과입니다~:) ​ 어금니 상실을 보완하는 가장 보편적이고 효과적인 방법으로는 임플란트가 꼽히는데요. ​ 인공치근을 잇몸뼈에 식립하고 그 위에 보철물을 올려 자연치처럼 가능하도록 만드는 방식으로 인접 치아를 손상시키지 않아 장기적으로도 구강 건강 유지에 유리합니다. ​ 하지만 이는 앞니보다 더 까다로운 시술로 위턱의 경우 상악동, 아래턱은 더보기…

울산달동하나치과

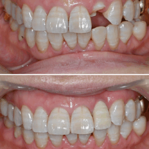
울산달동하나치과 벌어져 있는 앞니 라미네이트 수복

울산달동하나치과 벌어져 있는 앞니 라미네이트 수복   안녕하세요! 하나치과입니다~:) ​ 앞니는 웃을 때 가장 많이 보이는 부분으로 사람의 인상을 구분 짓는 만큼 얼굴에서 중요한 부분을 차지합니다. ​ 앞니가 벌어지게 되면 미관상으로도 좋지 않을 뿐만 아니라 음식물이 그 주변으로 끼면서 충치나 잇몸질환이 발생하는 2차적인 문제가 생길 수 있는데요. ​ 이처럼 벌어진 더보기…

울산달동하나치과

울산달동하나치과 재근관치료 및 재보철로 확보된 심미성

울산달동하나치과 재근관치료 및 재보철로 확보된 심미성 안녕하세요! 하나치과입니다~:) ​ 최근 치과를 찾는 환자분들 사이에서 “가능하면 이를 빼지 않고 살릴 수 없을까요?” 라는 질문이 늘고 있습니다. ​ 임플란트와 같은 인공치아 방법이 발달했음에도 불구하고 자연치를 보존하려는 움직임이 커지고 있는 것인데요. ​ 신경치료는 염증이 생긴 치수 조직을 제거하고 내부를 소독한 뒤 충전재로 채워 더보기…

울산치과

울산치과 오랜 기간 사용하던 틀니 고정성 보철 교체

울산치과 오랜 기간 사용하던 틀니 고정성 보철 교체   안녕하세요! 하나치과입니다~:) ​ 치아는 생후 6개월부터 유치가 나게 되고, 6년 후부터는 영구치로 교체되는데 사고나 노화 등으로 상실될 경우에는 다시 재.생되지 않습니다. ​ 최근 본격적인 고령화 사회로 접어들면서 영구치 상실로 인해 치료를 위해 치과를 찾으시는 분들이 늘어나고 있는데요. ​ 자연치를 상실하면 기존에는 더보기…

울산삼산동치과

울산삼산치과 오래된 앞니 크라운 교체

울산삼산치과 오래된 앞니 크라운 교체 안녕하세요! 하나치과입니다~:) ​ 치아의 외형은 대인관계에 직접적인 영향을 미치며 웃을 때 드러나는 앞니는 외모와 첫인상을 좌우하기도 합니다. ​ 이러한 이유로 앞니에 문제가 생겼을 때는 즉각적인 대가 필요하며 심미성과 기능을 균형 있게 고려한 울산삼산치과의 보철치료가 필수적인데요. ​ 이를 결정할 때는 미적 요소와 더불어 기능적 요소도 중요한 더보기…

울산삼산임플란트

울산삼산동임플란트 아래 어금니 부위 임플란트 수복

울산삼산동임플란트 아래 어금니 부위 임플란트 수복   안녕하세요! 하나치과입니다~:) ​ 어금니는 저작의 핵심을 담당하는 치아로 다른 부위보다 강한 저작력을 필요로 하는데요. ​ 그러나 구강 가장 안쪽에 위치해 관리에 소홀해지기 쉬운 치아로 칫솔이 잘 닿지 않아 꼼꼼하게 닦아내지 못해 충치나 각종 치주 질환에 노출되기 쉽습니다. ​ 어금니를 상실하였다면 울산삼산어금니임플란트를 고려해 볼 더보기…

울산삼산동치과

울산삼산동치과 우식으로 인한 인레이 제거 후 크라운 수복

울산삼산동치과 우식으로 인한 인레이 제거 후 크라운 수복   안녕하세요! 하나치과입니다~:) ​ 2차 충치에 대해 들어보신 적 있으신가요? ​ 2차 충치는 치료를 받은 뒤 인레이나 크라운 등 보철물을 씌운 부위에 또다시 우식이 발생하는 것을 말합니다. ​ 이렇게 발생한 2차 충치는 육안으로 확인하기가 어려워 원인 모를 입 냄새를 호소하는 분들도 많으신데요. 더보기…

신정동치과

신정동치과 앞니 레진 수복과 어금니 보철물 교체

신정동치과 앞니 레진 수복과 어금니 보철물 교체   안녕하세요! 하나치과입니다~:) ​ 앞니가 벌어지면 외적인 문제뿐만 아니라 음식물이 들어가 충치나 잇몸질환이 발생하는 2차적인 문제가 생길 수 있는데 ​ 틈을 메우는 수복치료를 받는 것이 구강 위생 관리에 도움이 되는데요. ​ 벌어진 치아를 메우는 방법은 복합레진, 라미네이트, 크라운 등이 있는데 환.자에 따라 벌어짐의 더보기…

울산삼산동치과

울산삼산동치과 뻐드러진 앞니 심미보철

울산삼산동치과 뻐드러진 앞니 심미보철 ​ 안녕하세요! 하나치과입니다~:) ​ 고르고 하얀 치아가 외모와 첫인상에 중요한 영향을 미치는 만큼 치아 관리에 대한 관심이 커지고 있는데요. ​ 수능을 본 수험생이나 면접 시즌의 취업 준비생과 같이 조금이라도 긍정적인 첫인상을 전달하기 위해 ​ 울산삼산동치과 앞니치료를 받으려는 분들도 늘어나고 있는 추세입니다. ​ 대표적인 심미보철이란 치아의 기능이 더보기…

문의 전화

052-922-2879

네이버 예약

네이버 예약