울산달동하나치과 재근관치료 및 재보철로 확보된 심미성
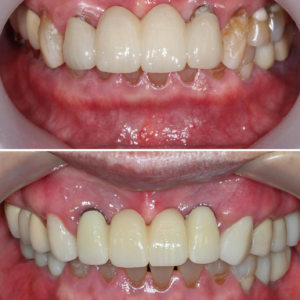
울산달동하나치과 재근관치료 및 재보철로 확보된 심미성 안녕하세요! 하나치과입니다~:) 최근 치과를 찾는 환자분들 사이에서 “가능하면 이를 빼지 않고 살릴 수 없을까요?” 라는 질문이 늘고 있습니다. 임플란트와 같은 인공치아 방법이 발달했음에도 불구하고 자연치를 보존하려는 움직임이 커지고 있는 것인데요. 신경치료는 염증이 생긴 치수 조직을 제거하고 내부를 소독한 뒤 충전재로 채워 더보기…









