울산치과 수직고경이 무너진 앞니 보철 고경 재확립 후 보철치료
안녕하세요!
하나치과입니다~:)
치과 치료의 과정에서
가장 중요한 것은 명확한 진.단입니다.
치아의 색상과 배열, 손상 정도 등을
종합적으로 분석해 환.자에게
적합한 맞춤형 계획을 세워야 하는데요.
특히 앞니는 심미성과 기능성이
동시에 요구되는 부위로
재료 선택 역시. 신중해야 합니다.

울산치과의 앞니치료 주요 목적 중 하나는
치아 삭제를 줄이면서
자연치를 보존하는 것인데요.
그러나 치료 과정에서 삭제가 불가피한
경우가 있어 이때는 숙련된 의료진의
명확한 판단이 중요합니다.
치아 삭제가 잘못될 경우 잇몸과 치조골 등
주변 조직에 부정적인 영향을 미칠 수 있으므로
문제가 발생하면 즉시 치과를 방문하여
진.단받는 것이 바람직합니다.
심미보철은 단순히 외관 개선에 그치는 것이
아니라 치아의 기능과 건강을 유지하는 데도
필수적이므로 환.자 개개인의 상태와 요구를
충분히 반영하여 맞춤 치료를 진행하여야 합니다.

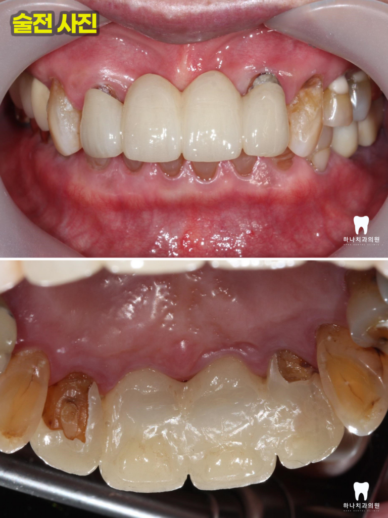
위 환.자분은 70대 여성분으로
새로 제작한지 얼마 되지 않은
앞니 보철물이 부러지고 덜렁거리신다며
내원해 주셨습니다.

본인의 원래 위, 아래 치아 사이의
수직적 높이인 교합고경이
낮은 상태임에도 무리하게 크고 긴
앞니 보철이 제작되어 보철이 깨지고
지대치인 양쪽 측절치가 심하게
흔들리고 있는 상태였는데요.
사진에서 보이는 바와 같이
이를 꽉 문 상태에서 아래 앞니가 하나도
보이지 않을 정도의 과한 수직 교합을
보이고 있었는데
그 이유로 부족한 어금니의 높이 때문에
위쪽 앞니가 들어갈 공간이 부족하여
보철의 깨짐과 지대치의 동요도를 보인다고
판단하였습니다.

따라서 양쪽 어금니의 높이를 높여
충분한 수직적 교합 거상 후
생리적으로 안정적인 크기인
앞니 임플란트 보철까지
진행하기로 하였습니다.

양쪽 아래 어금니의 임플란트 보철을
만들면서 환.자가 가지고 있는
수직적 높이를 올려 앞니의 공간을
부여할 수 있도록 디자인하였는데요.
어금니의 완성 후에는 앞니의 공간을
확보하고 울산치과의 앞니치료를 마무리하여
기능적으로 안정적이고
심미적으로 개선된 상태의 보철을
마무리하여 치료 완료 후
2년이라는 시간 동안 저작과 심미에
아무런 문제 없이 보존하고 있습니다.

“잘 씹을 수 있어서 좋아~~”라고
말씀하시지만 앞니는 조금 더 컸으면
좋겠다고 하셨는데요.
하지만 기능을 고려한 저작 회복,
그 기능에 따라 유지 가능한 심미성은
현재 상태에서 최선임을 설명드렸습니다.
기능은 형태를 따르고
형태는 기능의 범위 안에 머물러야지만
오래 쓰는 보철을 제작할 수 있습니다.

자주는 아니지만 환.자분과 같이
어금니 부위가 망가진 경우
원래 가지고 있던 환.자분의 치아 사이
높이를 인위적으로 올려야만 하는 경우가 있는데요.
나는 울산치과에서 앞니치료를 하러 왔는데
왜 어금니를 이야기하는 거냐며
말씀하시는 분들이 많은 것도 사실입니다.
하지만 어금니가 높이를 담당하고
그 높이가 일정하게 안정적으로 유지되어
어금니 교합 고경이 안정되어야
앞니 치아가 유지될 수 있음을 설명드리고
그 뜻에 동의해 주시는 분들께 이러한 치료를
시행하고 있습니다.

울산치과의 앞니치료는 단순히 미소를 아름답게
만드는 것을 넘어 환.자분의 자신감과
삶의 질을 높이는 데 기여합니다.
치료 전 충분한 상.담과 정밀한 진.단,
그리고 치료 후 지속적인 관리는
성공을 위한 핵심 요소입니다.
치료 후에도 관리를 꼼꼼히 해야 하는데
이에 소홀하면 보철이 깨지거나
들뜨는 등 문제가 발생할 수 있어
설명드리는 사항을 준수하고
정기적인 검진 시기에 맞춰
내원하는 것도 중요합니다.
*모든 증례 사진은 의료법 제23조, 제56조에 의거하여 환.자분의 동의하에 업로드가 진행되었습니다.
*치료 사진은 모두 본.원에서 치료한 환.자분의. 사진입니다.
*치료 사진은 모두 동일인의. 사진이며, 동일 조건에서 촬영하였습니다.
*개인의 차이에 따라 시.술 및 수술 후 부작용이 발생할 수 있으며, 의료진과 충분한 상.담을 받으시기 바랍니다.