울산삼산동치과 타원 임플란트 파절로 인해 제거 후 즉시 식립
안녕하세요!
하나치과입니다~:)
임플란트 시술 후 문제가 발생했을 때
단순한 보완이 아닌 정밀한 재치료가
필요한 경우가 있습니다.
바로 재수술인데 기존 임플란트가 실패하거나
이상 반응을 보이는 경우, 재수술을 통해
기능을 회복하고 구강 건강을 되찾을 수 있지만
이를 위해서는 무엇보다 정확한 진단과
맞춤형 치료 계획이 선행되어야 합니다.
이는 단순한 재식립을 넘어 실패의 원인을
근본적으로 해결하는 과정으로
실패 원인은 매우 다양한데요.
임플란트 고정 실패, 주위 뼈의 부족, 감염,
부정확한 식립 위치, 과도한 저작력으로 인한
파절 등 기저 요인을 세심하게 분석해야 합니다.

진단이 완료되면 상태에 따라
뼈 이식, 감염 제거, 보철물 교체, 재식립 등
복합적인 치료가 이루어질 수 있습니다.
뼈가 충분하지 않을 경우에는 뼈이식을 통해
기반을 보강한 뒤 임플란트를 다시 식립하고
안정적인 고정을 유도해야 하지만
이 과정은 첫 시술보다 훨씬 정밀한 계획과
고도의 기술이 요구됩니다.
울산삼산동치과의 임플란트 재수술은 단순 반복이 아니라
복합적인 치료와 전문성이 요구되는
난이도가 높은 시술로
풍부한 경험과 정밀 진단 시스템을 갖추고 있는
하나치과를 선택하여 재발의 위험을 줄이며
보다 안정적인 결과를 기대해 보시는 것을 추천드립니다.

위 환자분은 50대 남성분으로
본원에 내원하셔서 치료받으신
경험이 있으신 환자분의 소개로
내원해 주셨습니다.
몇 년 전 오른쪽 아래 치료를 받았던
임플란트가 자꾸 흔들려서 제거하셨다며
다시 치료를 원하신다는 말씀을 해주셨는데요.

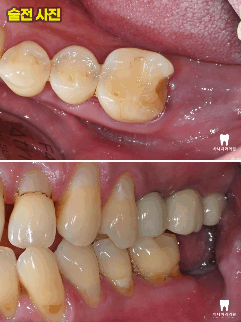
정밀 x-ray 촬영 결과, 기존에 식립되어 있던
인공치근의 파절선을 뚜렷하게 관찰할 수 있었고
앞쪽의 첫 번째 어금니 역시 파절과 뿌리 주변의
심한 골소실을 관찰하여
당일 발치 및 기존 임플란트 제거 후
울산삼산동치과에서 임플란트 식립을 계획하게 되었습니다.

큰 문제 없이 필요한 자리에
임플란트 수술 후 뼈이식을 실시하였습니다.
재수술 과정에서는 디지털 영상 진단 장비를
활용하여 기존 임플란트 주변의 뼈 상태와
염증 유무, 식립 각도 등을 정밀 분석하는 것이
일반적으로 이를 통해 오차를 최소화하고
환자별 구강 구조에 적합한 치료 방법을 적용할 수 있습니다.

식립 3개월 후 최종 보철물까지
완성하였습니다.
환자분께서도 아주 똑바르게 심겨서
기분이 좋은데~ 하며 좋아해 주셨네요!
임플란트가 대중화되고
환자분들이 내원하셨을 때에도
다양한 다수의 케이스를 관찰하게 되는데요.
어디서 식립을 하건, 무엇을 식립 하건
치료는 기능을 잘하면서 생리적인 상태로
오래 유지되어야 합니다.

가끔 임플란트 치료의 합병증을 가지고
계시지만 어쩌겠어. 불편해도 참아야지
하고 말씀하시는 경우를 요즘 들어
자주 보고는 하는데요.
울산삼산동치과 임플란트는 자연치와 유사한
기능과 심미성을 제공하는 치료이지만
실패 시 재수술이라는 복잡한 과정을 거쳐야
할 수 있으므로 처음부터 정밀 진단과
숙련된 시술이 중요한 것은 물론
문제가 발생했을 경우에도 원인을 정확히
파악하고 신중하게 접근하는 것이
건강한 구강 회복의 첫걸음입니다.
임플란트 치료 역시 치과 치료의
한 종류일 뿐으로 편하고 잘 기능해야 하는 것이
목표이며 그렇지 않은 경우 추가적인 치료나
처치가 필요합니다.
지금 현재 사용하고 계시는 임플란트에 대한
고민도 울산삼산동치과
하나치과가 함께 하겠습니다.
*모든 증례 사진은 의료법 제23조, 제56조에 의거하여 환자분의 동의하에 업로드가 진행되었습니다.
*치료 사진은 모두 본원에서 치료한 환자분의 사진입니다.
*치료 사진은 모두 동일인의 사진이며, 동일 조건에서 촬영하였습니다.
*개인의 차이에 따라 시술 및 수술 후 부작용이 발생할 수 있으며, 의료진과 충분한 상담을 받으시기 바랍니다.